|
Up Wound Infection Seroma and Epidural Scar Epidural Hematoma - CT Epidural Hematoma - MRI Instability Graft Reabsorption Endplate Fracture Graft Collapse Nonunion Displaced Strut Graft Broken Screw Screw in Spinal Canal Slipped rod Screw in Disc space Screw Loosening & Hematoma Screw Backing Out Screw Loosening
| |
Wound Infection
56 Y.O. female who 12 years prior had a prior C5-6 discectomy and fusion,
which failed secondary to bone graft failure, was treated with HALO fixation and
did well. More recently, she had worsening myleopathic symptoms a C2-C7
laminectomy. Patient was spiking fevers for several days post-operatively and
the wound was indurated and red.

Click on the images to view a larger version!
|
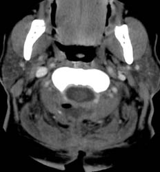
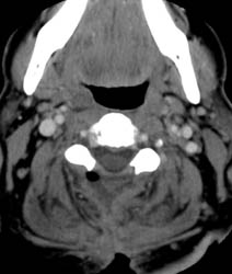
Contrast enhanced axial CT scan demonstrates unroofing
of the spinal canal from the C2 to the C7 with bilateral laminectomies and
removal of the spinous processes. There is a fluid collection without
significant rim enhancement in the post surgical bed at the C2 level,
posterior to the spinal canal. Within this, there is some air. The fluid
collection appears to extend inferiorly to the C3 level, and then a small
slit of fluid continues inferiorly to the C5 - 6 level (not shown), where it appears
to communicate with the midline incision . |
|