Wound Infection
Home Up Introduction Complications References Index

 

Up

Wound Infection

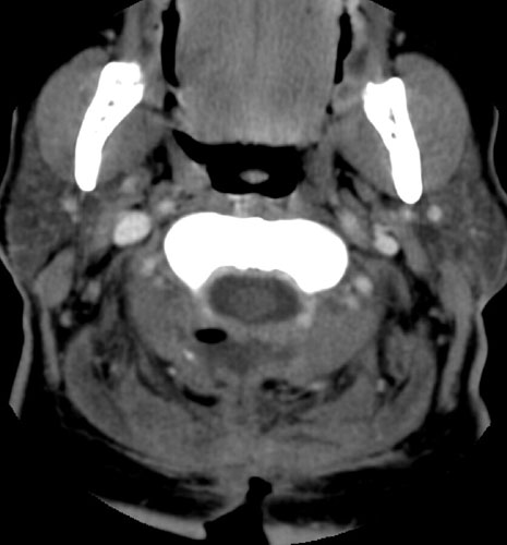
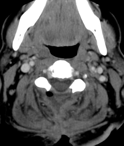
Contrast enhanced axial CT scan  demonstrates unroofing of the spinal canal from the C2 to the C7 with bilateral laminectomies and removal of the spinous processes. There is a fluid collection without significant rim enhancement in the post surgical bed at the C2 level, posterior to the spinal canal. Within this, there is some air. The fluid collection appears to extend inferiorly to the C3 level, and then a small slit of fluid continues inferiorly to the C5 - 6 level (not shown), where it appears to communicate with the midline incision .
 


Google
 
Web Gentili.net

©Gentili.net 1998-2006