|
Up Wound Infection Seroma and Epidural Scar Epidural Hematoma - CT Epidural Hematoma - MRI Instability Graft Reabsorption Endplate Fracture Graft Collapse Nonunion Displaced Strut Graft Broken Screw Screw in Spinal Canal Slipped rod Screw in Disc space Screw Loosening & Hematoma Screw Backing Out Screw Loosening
| |
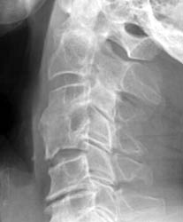
Endplate Fracture
76 y.o male with symptoms of myelopathy, underwent C3,4 ACDF. 1 month later
the patient had complaints of severe dysphagia, feelings of 'food and
liquid getting caught'.
 |
This radiograph take 1 month later demonstrates anterior
extrusion of bone graft material at C3-4 and an endplate fracture at C4. |
 |
Conservative management utilizing a rigid cervical collar was prescribed for 6
months. 5 months later bony healing has
occurred with incorporation of the graft.
Click on the images to view a larger version!
|
|