|
Up Wound Infection Seroma and Epidural Scar Epidural Hematoma - CT Epidural Hematoma - MRI Instability Graft Reabsorption Endplate Fracture Graft Collapse Nonunion Displaced Strut Graft Broken Screw Screw in Spinal Canal Slipped rod Screw in Disc space Screw Loosening & Hematoma Screw Backing Out Screw Loosening
| |
Slipped rod
65 y.o male with prior surgery 23 years ago, secondary to trauma involving
C4-5, C5-6 ACDF procedures. Now is 1 yr s/p bilateral C5 and C6 foraminotomy and
C6-C7 posterior fusion and right iliac crest bone graft for persistent numbness
and tingling for 2 years.
 |
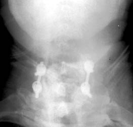
Radiographs obtained 5 months post-operatively demonstrate normal
C6-7 fusion without evidence of hardware failure. |
 |
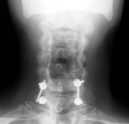
3 months later,
follow-up films show the posterior fixation at C6-7. Now noted that the
screw at C7 has slipped off the support rod on the right. |
Click on the images to view a larger version!
|
|