|
Up
| |
Slipped Rod
65 y.o male with prior surgery 23 years ago, secondary to trauma involving
C4-5, C5-6 ACDF procedures. Now is 1 yr s/p bilateral C5 and C6 foraminotomy and
C6-C7 posterior fusion and right iliac crest bone graft for persistent numbness
and tingling f or 2 years.
 |
Radiographs obtained 5 months post-operatively demonstrate normal
C6-7 fusion without evidence of hardware failure. |
 |
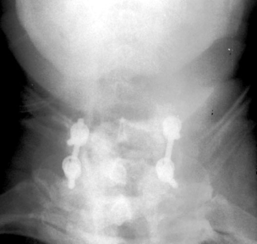
3 months later,
follow-up films show the posterior fixation at C6-7. Now noted that the
screw at C7 has slipped off the support rod on the right. |
|