|
Up Wound Infection Seroma and Epidural Scar Epidural Hematoma - CT Epidural Hematoma - MRI Instability Graft Reabsorption Endplate Fracture Graft Collapse Nonunion Displaced Strut Graft Broken Screw Screw in Spinal Canal Slipped rod Screw in Disc space Screw Loosening & Hematoma Screw Backing Out Screw Loosening
| |
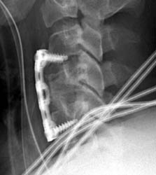
Screw in disc space
43 year old male with moderate myelopathy referred to C3,4 and severe myelopathy
in C5,6 distributions underwent C4 vertebrectomy and C3-4, C4-5 discectomies.
 |
Immediate
post-operative lateral radiograph demonstrating cortical fixation screws traversing the C3-4
disc space.
Click on the images to view a larger version!
|
|
|
|