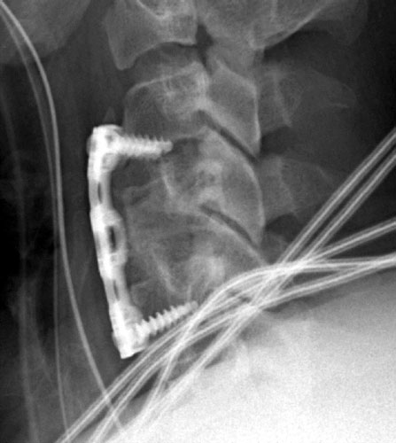
Screw in Disc space
Home Up Introduction Complications References Index

 

Up

Screw in disc space

Immediate post-operative lateral radiograph demonstrating cortical fixation screws traversing the C3-4 disc space.
 


Google
 
Web Gentili.net

©Gentili.net 1998-2006