|
Up Wound Infection Seroma and Epidural Scar Epidural Hematoma - CT Epidural Hematoma - MRI Instability Graft Reabsorption Endplate Fracture Graft Collapse Nonunion Displaced Strut Graft Broken Screw Screw in Spinal Canal Slipped rod Screw in Disc space Screw Loosening & Hematoma Screw Backing Out Screw Loosening
| |
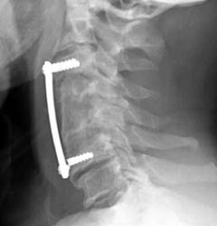
Broken Screw
72 y.o. male who had a six month history of painless myelopathic symptoms
including difficulty with fine motor movements of the hands and increasing
difficulty with gait. He was found on MRI to have severe cervical myelopathy
with signal changes in his spinal cord. The majority of the compression took
place at the C3-4 disk level as well as the C4 and C5 vertebral bodies. The
patient underwent C4 and C5 anterior vertebrectomy, C3-4, 4-5, and 5-6 anterior
discectomies and decompression, c3-6 anterior fusion with autogenous iliac crest
bone graft (ICBG) strut graft with anterior plate fixation.
 |
Lateral radiograph taken three weeks post-operatively shows the anterior
fusion C3-C6 with no hardware complications. The strut graft appears intact and
well seated and the spine is in normal anatomic alignment |
 |
Lateral radiograph now 10 weeks post-operatively demonstrates interval
fracturing of the two cortical screws in the vertebral body of C6. Superior
displacement of the screws relative to the distal plate. Furthermore, the bone
graft has tilted dorsally in its superior aspect as well.
Click on the images to view a larger version!
|
|