|
Up Wound Infection Seroma and Epidural Scar Epidural Hematoma - CT Epidural Hematoma - MRI Instability Graft Reabsorption Endplate Fracture Graft Collapse Nonunion Displaced Strut Graft Broken Screw Screw in Spinal Canal Slipped rod Screw in Disc space Screw Loosening & Hematoma Screw Backing Out Screw Loosening
| |
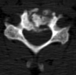
Graft Reabsorption
61 y.o male, s/p c4-5 discectomy and interbody fusion for myelopathy.
 |
Initial post-operative films show bone graft intact, with mildly
prominent pervertebral soft tissues, as expected in the immediate post-operative
period. |

|
8 months later, the follow-up films demonstrate lucency at the
graft site worrisome for resorption. Figure _. Axial CT examination, without
contrast. |
 
Click on the images to view a larger version!
|
The axial images, and the sagittal reconstructions (not
shown) show some central lucency in the region of graft placement,
suggesting partial resorption of the graft material. |
|