Epidural Hematoma - CT
Home Up Introduction References Index

 

Up
Wound Infection
Seroma and Epidural Scar
Epidural Hematoma - CT
Epidural Hematoma - MRI
Instability
Graft Reabsorption
Endplate Fracture
Graft Collapse
Nonunion
Displaced Strut Graft
Broken Screw
Screw in Spinal Canal
Slipped rod
Screw in Disc space
Screw Loosening & Hematoma
Screw Backing Out
Screw Loosening

Epidural Hematoma

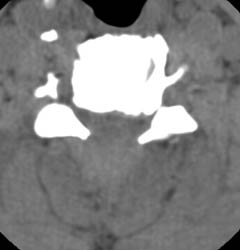
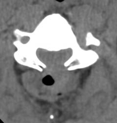
63 y.o. male with severe spinal stenosis and associate myelopathy in both hands and feet. Patient underwent laminectomy from C2-C7. 1 day after initial operation patient with severe numbness to left arm. Then, patient became unable to move either leg within 2 hours after that initial complaint. A Stat non-contrast CT was ordered.

 

CT - Click on the image to enlargeCT - Click on the image to enlarge

Click on the images to view a larger version!

Axial CT demonstrates laminectomy defect at the level shown. A hyperdense fluid collection with some air bubbles  is identified consistent with an epidural hematoma, extending from the C2-3 level to C7-T1 (not entirely shown).


Google
 
Web Gentili.net

©Gentili.net 1998-2006