Heterotopic Bone Formation
Home Up Materials Radiography Arthrography CT and MRI References

 

Home
Materials
Fixation
Prosthesis Types
 Total Hip 
 Hemi
 Revision 
Radiography
Baseline Exam
 Alignment
 -Acetab. Position
 -Inclination
 -Anteversion
 -Center of Rotation
 -Femoral Stem 
 -Leg Length Discr.
 Intra-op- Fractures 
 Cement Herniation
Follow-up Study
 Bony Abnormalities
 Fracture
 Heterotopic Bone
 Non Union
 Hardware Failure
 -Polyethylene Wear
 -Dislocation
 Osteolysis
 Loosening
 Infection
Arthrography
CT and MRI
References

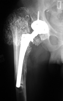
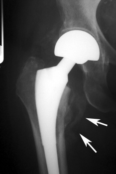
Heterotopic Bone Formation

May be associated with pain and loss of range of motion.

.

HETEROTOPIC BONE FORMATION—Fusing greater trochanter to lateral acetabulum


HETEROTOPIC BONE FORMATION adjacent to loose femoral component, plain film and CT


HETEROTOPIC BONE FORMATION—Early heterotopic ossification (arrows) occurring 6 weeks after surgery


 

 

Google
 
Web Gentili.net