Hardware Failure
Home Up Materials Radiography Arthrography CT and MRI References

 

Home
Materials
Fixation
Prosthesis Types
 Total Hip 
 Hemi
 Revision 
Radiography
Baseline Exam
 Alignment
 -Acetab. Position
 -Inclination
 -Anteversion
 -Center of Rotation
 -Femoral Stem 
 -Leg Length Discr.
 Intra-op- Fractures 
 Cement Herniation
Follow-up Study
 Bony Abnormalities
 Fracture
 Heterotopic Bone
 Non Union
 Hardware Failure
 -Polyethylene Wear
 -Dislocation
 Osteolysis
 Loosening
 Infection
Arthrography
CT and MRI
References

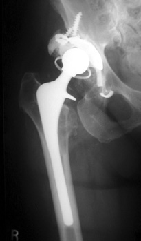
HARDWARE FAILURE

  • Hardware fracture / breakage
  • Polyethylene wear
  • Polyethylene dislocation

Broken femoral stem with remodeling of the lateral femoral cortex.


Broken, frayed, and disintegrating cerclage cables


Side plate placed for periprosthetic fracture, now broken with loss of reduction of femur fracture


 

6/97

11/02

Phalanged acetabular cup with interval fracture of the medial phalange. Note progressive osteolysis in Gruen zone 7


 

Google
 
Web Gentili.net