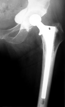
Cement Herniation
- Most common intrapelvic, through defect in medial acetabulum.
- Usually asymptomatic.
- Rare complications include bowel fistulas, encasement of neurovascular
structures, bladder wall burn.

Cement extravasation in the pelvis from through defect in the
acetabulum.
 
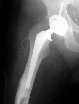
Cement extravasation in the thigh through intraoperative
fracture at the level of the tip of the femoral stem.
|