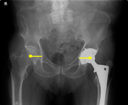
ACETABULAR COMPONENT
HORIZONTAL CENTER OF ROTATION
Distance from center of the femoral head to teardrop (or other identifiable
landmark) should be equal bilaterally.
The iliopsoas tendon should pass just lateral to the center of the femoral
head and helps to keep the hip proper alignment. Excessive lateral positioning
of the acetabular component results in the iliopsoas tendon crossing medial to
the femoral head, placing the patient at risk for dislocation.

|