Plantar Fibromatosis
Home Plantar Fasciitis Plantar Fibromatosis Dermatofibroma Fibrohistiocytic Tumor Morton's Neuroma Hemangioma PVNS Gout Inclusion Cyst Melanoma Extraskel. Chondrosarc. References

 

Plantar Fibromatosis

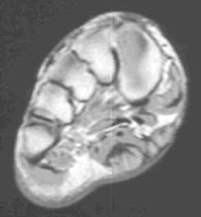
Characterized by nodular or poorly defined aggregates of mature to somewhat immature fibroblasts dispersed throughout dense collagen, causing irregular or nodular subcutaneous thickening of the plantar fascia. On MR, this appears as a nodular thickening of the plantar aponeurosis, which has low to intermediate signal intensity on both T1 and T2W images. Central increased signal intensity may be present.

62-year-old male with nodular thickening of the plantar fascia. This has intermediate signal on T1W and hyperintense signal on T2, proton density and Stir weighted images. These are atypical signal characteristics of plantar fibromatosis.

 

Back Home Next


Google
 
Web Gentili.net

©Gentili.net 1998-2006