PVNS
Home Plantar Fasciitis Plantar Fibromatosis Dermatofibroma Fibrohistiocytic Tumor Morton's Neuroma Hemangioma PVNS Gout Inclusion Cyst Melanoma Extraskel. Chondrosarc. References

 

Pigmented Villonodular Synovitis

In this entity, there is synovial proliferation and hemosiderine deposition. Divided into localized or nodular types. Mass usually arise in the synovial lining of the joints, tendon sheaths, fascial planes, or ligamentous tissues. It is usually monoarticular and most commonly seen in young adult men. Hand and feet are frequently involved in localized form, and knee is the common location in the diffuse pigmented villonodular synovitis.
Clinically these present as painful joint with soft tissue masses.
MR findings- Synovial proliferation with synovial fluid demonstrating as inhomogeneous high signal intensity on T2W images. Hemosiderine deposition is seen as low signal intensity foci on T1W and T2W images. Cystic bony erosions are present in fifty percent of patients.

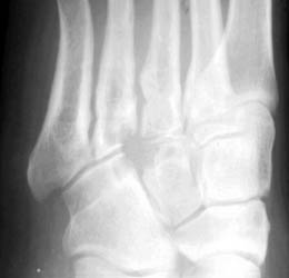
26 years old female presenting with painful soft tissue mass at the plantar aspect of the left foot.MR demonstrates this mass is isointense on T1,isointense to minimally hyperintense on proton density and hyperintense on T2 W and Stir images. Bony erosions are identified in 3rd cuneiform, cuboid and bases of 3rd and 4th metatarsals on MRI and plain radiographs.Few foci of low signal intensity hemosiderine deposits are identified on all pulse sequences.

 

Back Home Next


Google
 
Web Gentili.net

©Gentili.net 1998-2006