Inclusion Cyst
Home Plantar Fasciitis Plantar Fibromatosis Dermatofibroma Fibrohistiocytic Tumor Morton's Neuroma Hemangioma PVNS Gout Inclusion Cyst Melanoma Extraskel. Chondrosarc. References

 

Epidermal Inclusion Cyst

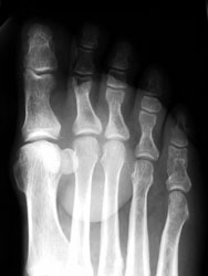
Epidermal inclusion cysts are most commonly associated with trauma, in superficially situated bones such as the calvarium, phalanx, hand, and foot. They are caused by implantation of epithelium under the skin, forming cysts with secondary bone erosion. Pain over the lesion is common. A well-defined mass is usually noted on plain radiographs. There is no associated periosteal reaction, or soft tissue swelling.

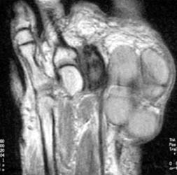
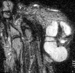
47 year old male with a 6 x 3.5 cm lobulated mass along plantar medial aspect of the 1st toe, which is hypointense on T1W and hyperintense On T2W images. Scattered small foci of hypointensity, representing calcifications is present on all the sequences. The soft tissue mass with small calcifications is also seen on the plain radiograph.

 

Back Home Next


Google
 
Web Gentili.net

©Gentili.net 1998-2006