Gout
Home Plantar Fasciitis Plantar Fibromatosis Dermatofibroma Fibrohistiocytic Tumor Morton's Neuroma Hemangioma PVNS Gout Inclusion Cyst Melanoma Extraskel. Chondrosarc. References

 

Gout

Deposition of urate and CPPD crystals in periarticular tissues. Usually present as soft tissue swelling and sharply defined punched out erosions with overhanging margins.
MR appearance: Typically present as persistent intermediate to low signal intensity on T1W and T2W with surrounding inflammation and post contrast enhancement. Bony erosions are also seen well.

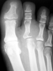
44years old male with rapidly enlarging mass in the foot. Radiographs demonstrates soft tissue mass between the 2nd and 3rd toes,with no calcification.Well defined erosion is noted at the radial aspect of the base of proximal phalanx of 2nd toe. Mild soft tissue swelling with faint calcification is also seen at 1st MTP joint ,with small erosion medial aspect of 1st Mt head. MR demonstrates mass is isointense to hypointense on T1W, and T2W images, with minimum bone marrow edema at the base of proximal phalanx of 2nd toe. Erosion is well seen at the base of proximal phalanx of 2nd toe on T1W images.

 

Back Home Next


Google
 
Web Gentili.net

©Gentili.net 1998-2006