KNEE - CT 2
Home Up Knee Shoulder Hip Elbow References - Index

 

 

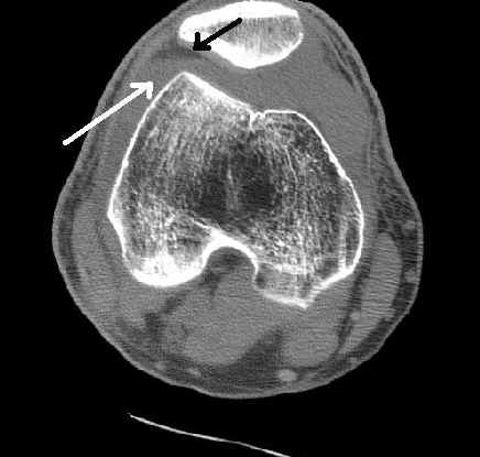
This axial CT demonstrates the lipohemarthrosis in the patellofemoral compartment of the knee. The black arrow demonstrates the fat while the white arrow demonstrates blood.

bulletGO TO NEXT KNEE CT
bulletGO TO KNEE CT MENU
bulletGO TO KNEE MRI MENU
bulletGO TO KNEE RADIOGRAPHY MENU
bulletRETURN TO MAIN KNEE MENU
 

Back

Google
 
Web Gentili.net

The FBI Sign: CT, MRI, and Radiographic Appearance of Lipohemarthrosis
Copyright © 2000-2006 S.M. Sorenson, K. Wolfson, A. Gentili, S. Masih, L.L. Seeger. All rights reserved.