KNEE - CT
Home Up Shoulder Hip Elbow References - Index

 

KNEE - CT 1
KNEE - CT 2

 

Axial CT examination of a patient with a tibial plateau fracture. CT, like radiography, utilizes x-rays to produce images. As such, CT images generally only demonstrate two levels of a lipohemarthrosis, blood and fat. Attenuation differences between the serum and cellular components is not usually identified by the eye. MRI is required for visualization of all three layers of a lipohemarthrosis.

CASE 1: These two CT images are from the 50 year old male who fell one day prior to presentation. His radiographs and MRI may be viewed as well.

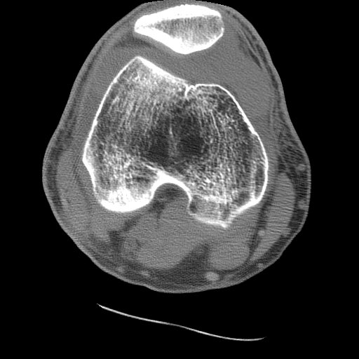
Image 1: Axial CT of the knee (soft tissue window) shows the comminuted fracture of the posterior aspect of the tibial plateau. CLICK TO ENLARGE.

CLICK TO ENLARGE

Image 2: Axial CT through the patella demonstrates a fat-fluid level in the knee joint. CLICK TO ENLARGE.

  CLICK TO ENLARGE

bullet

RETURN TO MAIN KNEE MENU

bullet

GO TO KNEE MRI MENU

bullet

GO TO KNEE RADIOGRAPHY MENU

 

Back Next

Google
 
Web Gentili.net

The FBI Sign: CT, MRI, and Radiographic Appearance of Lipohemarthrosis
Copyright © 2000-2006 S.M. Sorenson, K. Wolfson, A. Gentili, S. Masih, L.L. Seeger. All rights reserved.