|
|
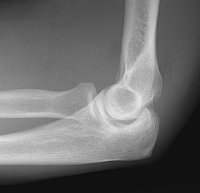
Visualization of a lipohemarthrosis in the elbow is joint is rare. It can only be seen radiographically on lateral views of the elbow with intraarticular fractures. It can be seen with CT, but this examination is not performed often in the acute setting. A more common finding in the acutely injured elbow is a displaced fat pad. This sign was first described in 1954. Often, subtle fractures of the radial head cannot be detected radiographically, but their presence can be inferred due to the presence of a joint effusion (blood) which on the lateral view of the elbow, displaces the anterior (coronoid) and posterior (olecranon) fat pads away from the joint. It is commonly believed that the presence of a displaced posterior fat pad is a more sensitive indicator of occult fracture than displacement of the anterior fat pad. Approximately 5 - 15 cc of fluid is required to displace these two fat pads so that they are radiographically detectable. The anterior fat pad should only be barely perceptible in the normal elbow. Case1: A 30 year old male fell while playing tennis. Image 1: The lateral radiograph of the elbow demonstrates the presence of abnormal anterior and posterior fat pads, due to the presence of blood within the joint from a nondisplaced radial head fracture. CLICK TO ENLARGE. Case 2: A 13 year old boy fell while playing soccer. Image 1: This lateral radiograph of the elbow demonstrates a true lipohemarthrosis of the elbow joint. Again, there is a crescent shaped region of low density anterior to the radial head. This corresponds to fat which has migrated from the marrow space to the joint space through an intraarticular fracture. The fracture itself is not visible. CLICK TO ENLARGE.
|
|
The FBI Sign:
CT, MRI, and Radiographic Appearance of Lipohemarthrosis
|