LIPOHEMARTHROSIS
Home Up Knee Shoulder Hip References - Index

 

 

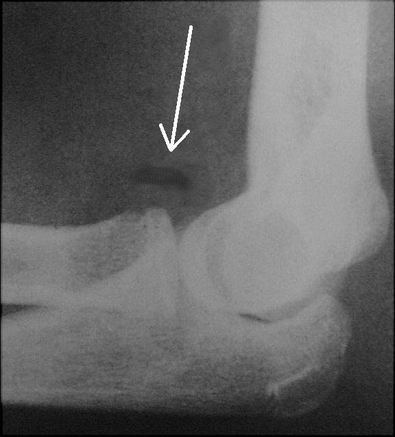
A lateral view of the elbow in a boy reveals a lipohemarthrosis. The fracture site is not visible. The anterior fat pad is not displaced.

 
bulletCOMPARE TO AN ELBOW WITH DISPLACED FAT PADS
bulletGO TO MAIN ELBOW MENU
 

Back

Google
 
Web Gentili.net

The FBI Sign: CT, MRI, and Radiographic Appearance of Lipohemarthrosis
Copyright © 2000-2006 S.M. Sorenson, K. Wolfson, A. Gentili, S. Masih, L.L. Seeger. All rights reserved.