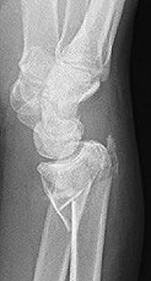
Return to Smith Fracture