Smith Fracture

Return to Main Menu

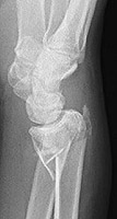
Also called a reverse Colles fracture, the Smith fracture is a transverse fracture of the distal radial metaphysis with palmar (as opposed to dorsal) displacement of the distal fracture fragment. If the fracture is intraarticular, it is called a reverse Barton fracture. This fracture results from a backward fall onto the outstretched hand.
 - Click on the image for a larger versionALateral radiograph of the wrist. This demonstrates a distal radial fracture. There is palmar displacement of the distal fracture fragment.

Links to online textbooks

References:


Google
 
Web Gentili.net

©Gentili.net 1998-2006