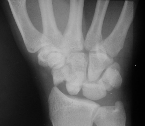
Return to Perilunate Dislocation