Perilunate Dislocation

Return to Main Menu

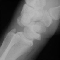
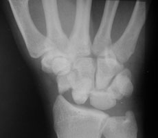
The perilunate dislocation results from a backwards fall on an extended hand which disrupts the scaphoid ligaments. The capitate is dorsally located relative to the lunate. The lunate bone maintains its normal relationship with the radius.
 - Click on the image for a larger versionAPA radiograph of the wrist. This demonstrates the abnormal relationship between the scaphoid and lunate bones.
 - Click on the image for a larger versionBLateral radiograph of the wrist. This shows the normal relationship of the lunate relative to the radius but there is dorsal displacement of the capitate bone.

Links to online textbooks

References:


Google
 
Web Gentili.net

©Gentili.net 1998-2006