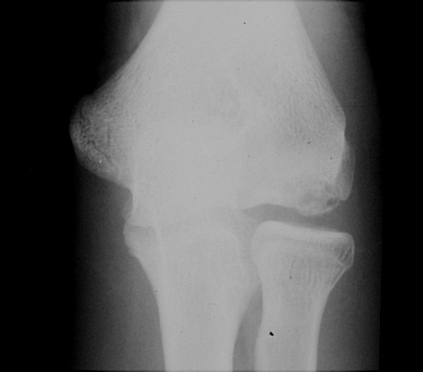
Return to Medial Epicondyle Fracture (Humerus)