Medial Epicondyle Fracture (Humerus)

Return to Main Menu

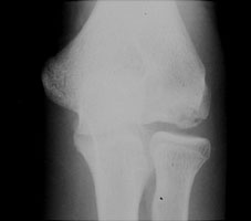
Resulting from valgus stress, fractures of the medial epicondyle of the humerus (little-leaguer's elbow) are really avulsion injuries. The medial epicondyle (or apophysis) of the humerus is injured by repeated violent contractions of the forearm flexor muscles which arise at this site. This is particularly seen in curveball and slider pitches; these motions result in strong valgus forces being applied at the medial epicondyle.
 - Click on the image for a larger versionAAP radiograph of the elbow. This shows a lucency extending through the medial epicondyle of the humerus, typical for the appearance of little-leaguer's elbow.

Links to online textbooks

References:


Google
 
Web Gentili.net

©Gentili.net 1998-2006