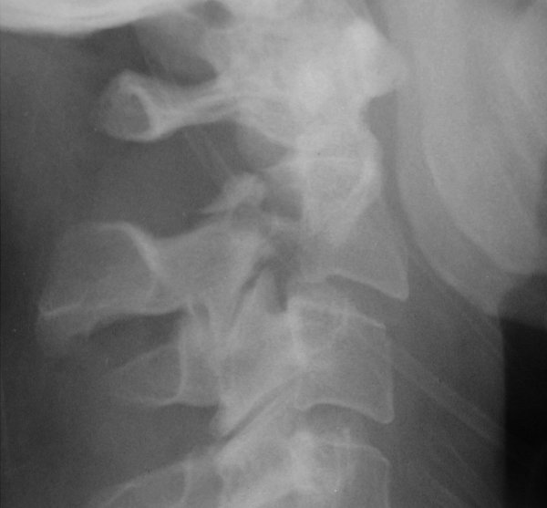
Return to Hangman's Fracture