Hangman's Fracture

Return to Main Menu

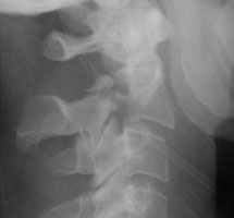
The Hangman's fracture consists of bilateral pedicle or pars fractures involving the C2 vertebral body. Associated with this fracture is anterior subluxation or dislocation of the C2 vertebral body. It results from a severe extension injury such as from an automobile accident where the face forcibly strikes the dashboard or from hanging.
 - Click on the image for a larger versionALateral radiograph of the cervical spine. This shows bilateral pars fractures at the C2 level.

Links to online textbooks

References:


Google
 
Web Gentili.net

©Gentili.net 1998-2006