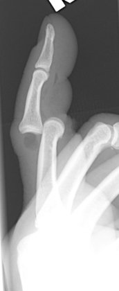
Return to Coach' s Finger