Coach' s Finger

Return to Main Menu

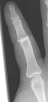
Named for injuries to baseball coaches, this term refers a dorsal dislocation of one of the proximal interphalangeal joints. Care must be made to determine if there is an associated volar plate fracture. With dorsal dislocations, the volar plate is usually detached from the middle phalanx. These injuries are due to hyperextension (such as from catching a ball). These injuries are usually managed nonoperatively, but if the collateral ligaments are disrupted, the joint will become unstable and arthroplasty will be required.
 - Click on the image for a larger versionAPA radiograph of the hand. The second PIP joint is slightly overriding.
 - Click on the image for a larger versionBConed AP radiograph of the second digit. Again, the PIP joint is overriding.
 - Click on the image for a larger versionCLateral radiograph of the second digit. There is dorsal dislocation of the PIP joint. This case is unusual in that there is not an associated volar plate fracture because this is an open injury (notice the air).

Links to online textbooks

References:


Google
 
Web Gentili.net

©Gentili.net 1998-2006