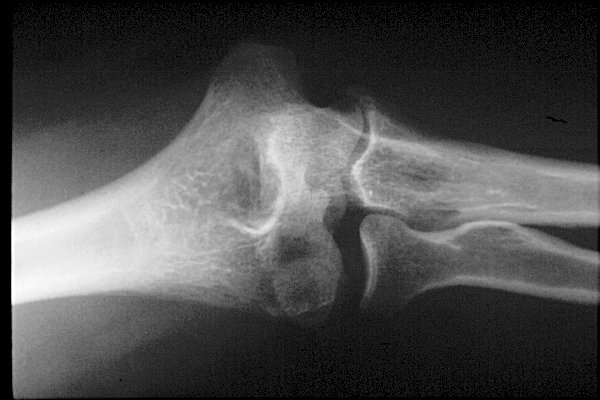
Return to Capitellum Fracture