Capitellum Fracture

Return to Main Menu

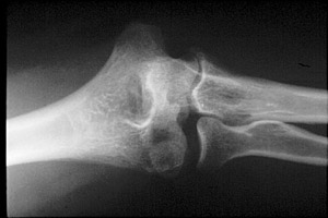
Fractures of the capitellum are the result of direct trauma to the extremity. In pediatric patients, this site is the second most common site of injury about the elbow.
 - Click on the image for a larger versionALateral radiograph of the elbow. This demonstrates a fracture of the capitellum.
 - Click on the image for a larger versionBAP radiograph of the elbow. This shows the fracture of the capitellum.

Links to online textbooks


Google
 
Web Gentili.net

©Gentili.net 1998-2006