HIP LIPOHEMARTHROSIS
Home Up Knee Shoulder Elbow References - Index

 

 

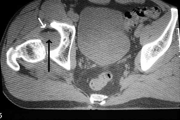
This axial CT demonstrates a posterior dislocation of the right hip with blood and fat filling the acetabular fossa. The white arrow indicates fat layering upon blood (black arrow).

 
bulletGO TO NEXT IMAGE
bulletGO TO MAIN HIP MENU
 

Next

Google
 
Web Gentili.net

The FBI Sign: CT, MRI, and Radiographic Appearance of Lipohemarthrosis
Copyright © 2000-2006 S.M. Sorenson, K. Wolfson, A. Gentili, S. Masih, L.L. Seeger. All rights reserved.