KNEE - MRI GE
Home Up Knee Shoulder Hip Elbow References - Index

 

 

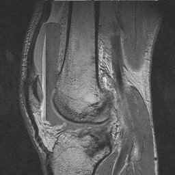
This gradient echo sagittal sequence demonstrates a lipohemarthrosis of the knee with four distinct layers. Gradient echo sequences are most sensitive to local field inhomogeneties and the artifact from chemical misregistration is readily apparent here.

 
bulletGO TO PROTON DENSITY IMAGE
bulletGO TO STIR IMAGE
bulletRETURN TO MAIN KNEE MRI MENU
 

Next

Google
 
Web Gentili.net

The FBI Sign: CT, MRI, and Radiographic Appearance of Lipohemarthrosis
Copyright © 2000-2006 S.M. Sorenson, K. Wolfson, A. Gentili, S. Masih, L.L. Seeger. All rights reserved.