Epidural Hematoma
Home Up Introduction Complications References Index

 

Up

Epidural Hematoma

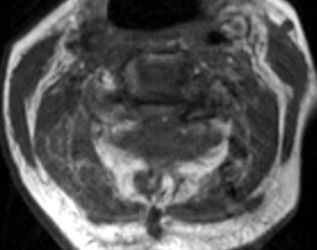
A B C
Non-enhanced sagittal T1 (A), sagittal T2 (B) and axial T1 images demonstrate a large fluid collection, predominantly low signal on T1, bright on T2 with a few areas of T1 hyperintesity mixed within. These constellation of findings are consistent with a post-operative epidural hematoma with blood products of various ages. There is severe severe spinal canal stenosis at C3-4, and very severe spinal canal stenosis at C4-5 and C5-6. The cord is markedly flattened in the anterior-posterior dimension, to approximately 2-3 mm secondary to mass effect from this fluid collection. There is abnormal T2 weighted hyperintensity within the substance of the cord at the C5-6 and C6-7 levels, consistent with some edema.

 


Google
 
Web Gentili.net

©Gentili.net 1998-2006