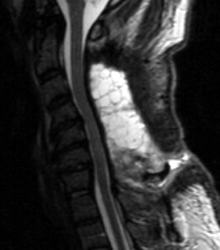
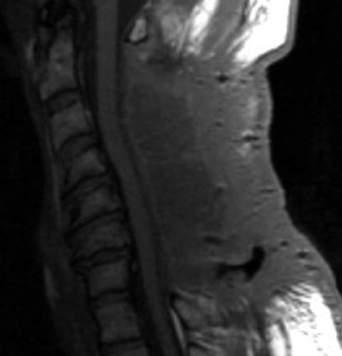
Seroma and Epidural Scar
Home Up Introduction Complications References Index

 

Up

Seroma and Epidural Scar

A B
C D
 


Google
 
Web Gentili.net

©Gentili.net 1998-2006