t
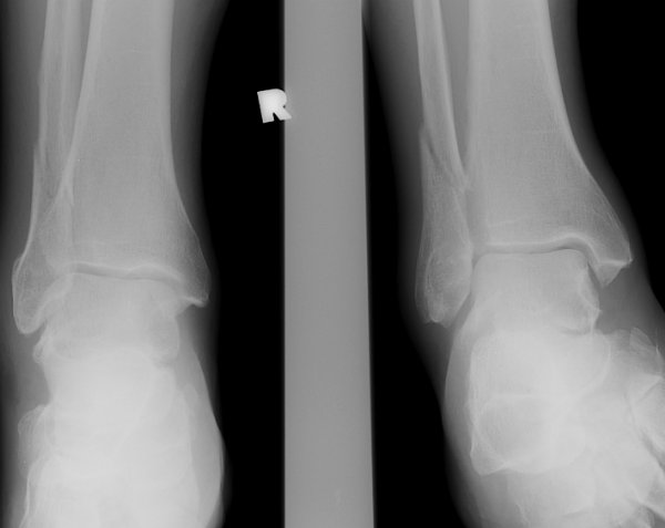
Return to Weber C Fracture