t
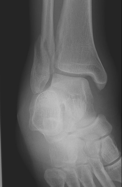
Return to Weber B Fracture