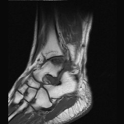
Return to Osteochondritis Dissecans