t
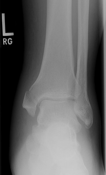
Return to Medial Malleolus Fracture