t
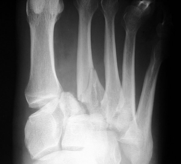
Return to Lisfranc Fracture-Dislocation