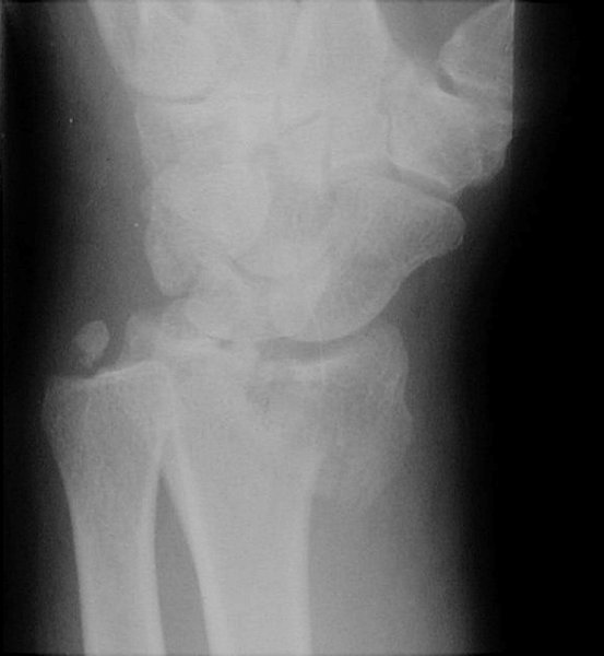
Return to Reverse Barton Fracture