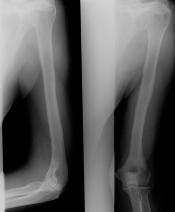
Return to Pathologic Fracture (Humerus)