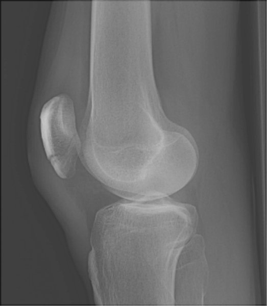
Return to Patellar Fracture