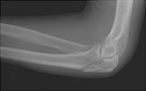
Return to Olecranon Fracture