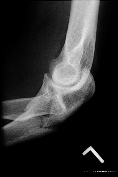
Return to Monteggia Fracture-Dislocation