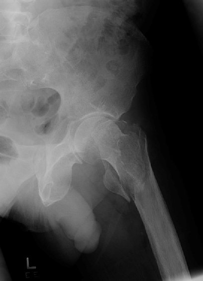
Return to Intertrochanteric Fracture