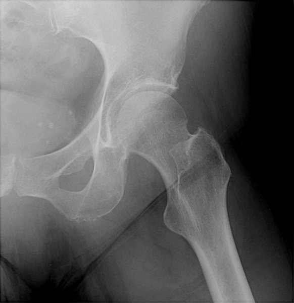
Return to Femoral Neck Fracture